Il a plein de "petits noms" kyste pilaire, ou kyste sébacé, ou kyste trichilemmal, et même "loupe" S'il passe inaperçu sous une épaisse crinière, le kyste du cuir chevelu devient nettement moins discret sur un crâne dégarni L'objectif La chevelure de votre bébé peut varier énormément C'est lié aux fluctuations hormonales autour des 2e et 3e mois Les premiers cheveux de bébé cèdent alors la place à de nouveaux, qu'il gardera jusqu'à la puberté Couleur, épaisseur, bouclés ou raides, ça restera à peu près stable jusqu'à l'adolescence Et làEn revanche je peux vous dire que c'est un bébé qui se porte trés bien et qui est en pleine forme Il pése actuellement 2k700 pour environs 40 à 45 cm Et il est assez chevelu Voila , prochaine étape l'accouchement dans 2 mois Là , je vous mettrais des photos du petit bout cette fois
Evolution Des Cheveux De Mon Bebe Afro Metisse Maman De Metisses
Bebe chevelu echographie
Bebe chevelu echographie- Le Collège Français d'Échographie Fœtale (CFEF) a décidé de ne plus révéler le sexe du bébé durant la première échographie En effet, même si l' interprétation du sexe des praticiens est fiable à 80% lors de ce rendezvous, la marge d'erreur est encore trop élevée Tout dépend de la position qu'a le bébé pendant Si l'écho 3D permet de découvrir bébé en trois dimensions, de distinguer ses petites joues rebondies ou la forme de son nez, voire dans le cas d'une écho 4D, de le



Anencephalie Explore Facebook
Centre IMBM radio du bassin ou écho de hanche de nourrisson à Paris 18,17,10,11,12,16,19,,1,2,3,4 91,93,94,95 RDV 01 42 29 56 06 ou sur Doctolib moi j'ai eu ce diagnostic pour ma fille a la derniere echo comme toi l'echographe m'a dit " et bien on voit ses cheveux" j'ai été tres surprise et en effet ma fille avait beaucoup de cheveux a la naissance j'espere que ce sera pareil pour bb car ca me fera bizarre d'avoir un bb sans cheveux mais perso je ne savais pas qu'on pouvait le voir a l'echoLa première, souvent appelée échographie obstétricale, est réalisée à la fin du premier trimestre et mesure la longueur craniosacrée, c'estàdire la distance entre la tête et le sacrum À ce stade, il n'est pas encore possible de mesurer la longueur totale du fœtus, car il est recroquevillé À partir de la quatorzième semaine, la deuxième échographie (l'échographie
L' échographie du 1er trimestre ou échographie de datation L' échographie du premier trimestre doit avoir lieu entre 11 et 13 semaines d'aménorrhée Cela correspond à vos 9e semaine à 11e semaine de grossesse (de développement de votre bébé)Echographie bébé déjà mal poli ! Analyser son échographie pour connaître le sexe de bébé Il vous faut donc passer l'échographie T1 (entre 11 et 13 semaines d'aménorrhée) pour avoir des éléments de réponse C'est généralement un grand moment dans votre calendrier de grossesse, émouvant pour les parents, car le fœtus commence à ressembler à un bébé
A 16 SA, le résultat est plus poussé mais c'est définitivement l'échographie de la 22ème semaines d'aménorrhées qui permet de connaître de manière sûre et définitive si le bébé est une fille ou un garçon Effectivement, l'appareil génital de votre enfant est alors forméMy baby 4D est un centre d'échographie ludique à Charleroi et vous accueille pour un moment inoubliable avec votre bébéCes réflexes témoignent du bon développement neurologique du bébé Le foetus mesure maintenant 60 mm de la tête au coccyx et il pèse environ 18 g Tout l'utérus est maintenant occupé par le sac amniotique idéal pour votre première échographie!



Traumatismes Obstetricaux Pediatrie Edition Professionnelle Du Manuel Msd



Infection Par Le Virus Zika Infections Manuels Msd Pour Le Grand Public
L'échographie du premier trimestre est généralement pratiquée par voie abdominale Le praticien enduit le ventre de la future maman d'eau gélifiée afin d'améliorer la qualité de lRéponses avec le Dr Yvan Vial, spécialiste en échographie obstétricale au Et voilà Junior CoxNoon, le bébé le plus chevelu du monde Le petit garçon, surnommé "Baby Bear" ("Bébé ours" en français) avait surpris l'équipe de médecins de l'hôpital de Brighton lors de sa naissance "Les docteurs étaient très étonnés et n'avaient jamais vu un bébé avec autant cheveux dans toute leur carrière", raconte



Mon Bebe A Fait Un Accident Vasculaire Cerebral Avc Moaman



Les Medecins Estimaient Son Esperance De Vie A 1 Jour Le Bebe A La Boite Cranienne Atrophiee Va Feter Ses 1 Ans
La troisième échographie la dernière ligne droite Quelques semaines avant l'accouchement (autour de la 32 e semaine d'aménorrhée), une dernière échographie permet de dresser un bilan final de la santé du bébé Sont effectués une mesure du diamètre crânien, du périmètre abdominal et de la longueur de certains os pour s'assurer que le bébé granditDR Et de deux ! La première échographie se passe souvent entre votre 11ème et 14ème semaine de grossesse Pendant cette échographie Le gynécologue regarde s'il s'agit d'une grossesse multiple La date de l'accouchement est déterminée Le gynécologue contrôle s'il y a une aberration chromosomique (on mesure la clarté nucale du bébé et on



Un Petit Bebe Ne Sans Crane Apres Que Sa Mere Ait Refuse L Avortement



Ppt A 18 Semaines Dans Le Systeme Respiratoire L Arbre Bronchique Est Maintenant Presque Termine Powerpoint Presentation Id
1 ère échographie à 4 SA et 4 jours l'oeuf est visible sous la forme d'une petite vésicule mesurant 3 mm de diamètre et entourée d'un halo correspondant au futur pL'échographie permet de contrôler la vitalité du bébé, sa croissance et son anatomie Elle peut ainsi révéler de nombreuses informations, dont voici les principales l'âge gestationnel Junior, un bébé irlandais de 8 semaines, est devenu une petite célébrité sur internet grâce à son incroyable coupe de cheveuxVidéo (1mn12s) Un bébé très chevelu Baby Bear, un bébé de 8 semaines très chevelu Vidéo



L Avc De Mon Enfant A Sa Naissance Ne L A Pas Empeche De Grandir Normalement Le Huffington Post Life



Des Cheveux Bidouillages Et Gourmandises De Vinou
Meilleur bébé chevelu à la naissance Bébé chevelu à la naissance Mais à la naissance, il n'a pas toujours le visage qu'on lui avait imaginé Hayley Hillman, une maman de Saltash (Angleterre) était loin de penser que son bébé l'aloe vera joue un 16 semaines de grossesse ou 18 SA votre corps à 4 mois de grossesse Lors du quatrième mois de grossesse, il n'est pas rare de s'interroger sur son futur statut de mère Les échographies, les mouvements du bébé, etc, tout cela rend la grossesse enfin concrète Sans compter ce nouveau corps que vous devez apprivoiser 6 L'échographie permet bien souvent de prédire le sexe du bébé Vous devrez attendre généralement l'échographie de la 12e semaine, soit environ le troisième mois de grossesse, pour connaître le sexe de votre enfant, mais sans certitude absolue Selon une étude récente, la détermination du sexe à cette date est possible dans 85% des cas, avec un avantage



Anencephalie Explore Facebook



Bebe De Mois Sans Cheveux Ou Presque Comment Les Faire Pousser Working Girl To Working Mum
Rencontrez votre bébé grâce à l'échographie 3D et 4D !️Retrouvez moi sur https//maiagamefr 💻🤗Respect et politesse dans les commentaires😊Better quality video of Bébé 9 spot!



Naissance Quelle Surveillance Pour Votre Bebe



Tube Neural Neufmois Fr
La troisième échographie de grossesse est normalement la dernière rencontre virtuelle avant la rencontre réelle avec le bébé, le jour de l'accouchementÀ la fin de cette semaine, le risque de faire une fausse couche chute considérablement//childablefr site de rencontres, inscrivezvousL'échographie est un examen médical indolore qui montre des images du fœtus in utero La méthode la



5 Month Foetus Banque D Image Et Photos Alamy



Klin View Echographies Plaisir 2d 3d 4d
Il va falloir donner très rapidement des leçons de savoirvivre, sinon c'est la sagefemme qui risque d'être choquée !Echographie 3D Bébé Art Echo, Wallers 7,364 likes 41 talking about this 427 were here Instagram bebe_art_echo Site web wwwbebeartechofr echographie32 semaines, bébé chevelu, maman en reflux En ce 22 mars, jour anniversaire de la 32 ème semaine, nous avions un autre rendezvous avec notre filleL'échographie matinale (8h45!) nous permis de passer presque à l'heure, un léger retard tout de même



Fraise Du Bebe L Hemangiome Ou Fraise Dermatologue En Visio



2
Utile pour dépister les éventuelles anomalies et pour s'assurer de la bonne santé du bébé, l'échographie est aussi l'occasion d'une rencontre avec l'enfant qui va naître Comment cela se passetil?Echographie abdominale votre enfant doit être à jeun (c'estàdire ne pas avoir bu ni mangé) entre 3 et 6 heures avant l'examen, pour mieux voir les différents organes Echographie pelvienne et vésicale (de la vessie) votre enfant doit boire à l'avance une certaine quantité d'eau pour que sa vessie soit pleine pendant l'examenRetrouvez toutes les anecdotes de ce 7ème mois de grossesse sur mon blog http//wwwbloghappychantillycom/magrossessede6a7mois



Les Cheveux De Bebe



L Anencephalie Definition De Cette Malformation Congenitale
Enceinte de 5 semaines, cette jeune maman aimerait savoir quand elle aura la joie d'entendre battre le coeur de son futur bébé Nicolas Dutriaux du Collège National des SagesFemmes lui répondTandis que ses acolytes de crèche arborent une chevelure déjà bien fournie, Loulou n'a toujours pas les belles bouclettes dont on a tant rêvé Il est même très peu chevelu et cela inquièteMa fille est enceinte de 3 mois et elle vient tout juste de faire sa 1ere échographie comme on peut le voir sur la vidéo on peut déja voir le "bourgeon géni



Bebes Chevelus Bebe Grandit Forum Grossesse Amp Bebe Doctissimo



Maternite D Argenteuil Facebook
L'Echographie TransFontanellaire ou le TDM cérébral seront alors utiles dans la recherche de lésions intracérébrales associées Il peut enfin, comme la bosse sérosanguine dans ses formes graves, être associé à un hématome extensif du cuir chevelu, une anémie et un ictère de résorption (ictère à bilirubine libre)Jazz et Laurent vont chez le gynécologue faire une échographie pour le bébé !#jlcfamily L'échographie est une technique d'imagerie employant des ultrasons qui permet de vérifier que le bébé se développe bien C'est la seule technique qui permet de visualiser directement le foetus dans le ventre de sa mère Une sonde vaginale ou abdominale est utilisée pour réaliser l'examen qui est totalement indolore pour la



5 Month Fetus Banque D Image Et Photos Alamy



10 Anomalies Qui Se Detectent Avant La Naissance
Alors qu'on imagine son bébé avec de jolies bouclettes, souvent, bébé n'a pas la chevelure à laquelle on s'attend Que faire quand bébé n'a pas de cheveux ?A la naissance, Bébé perd donc ses cheveux jusqu'à son sixième mois Cette chute des cheveux peut être accentuée dans des zones où la tête de Bébé est souvent appuyée Notamment l'arrière de la tête que Bébé a souventArche eveil bebe poussette aide marche bebe prix tunisie bebe 16 semaines grossesse album photo traditionnel bebe alimentation bebe 16 mois le soir Bebe A Cheveux Decembre 19 Babycenter Les Caracteristiques Des Nouveau Nes Naissance Doctissimo



3



Une Echographie Qui En Dit Long



1



Theo Le Nouveau Bebe Chevelu Qui Fait Le Buzz Video Parents Fr



Bosse Serosanguine Et Cephalhematome Chez Le Nouveau Ne



L Hospitalisation En Neonatologie Sparadrap



2



Klin View Echographies Plaisir 2d 3d 4d



Decouvrez Theo Le Bebe A La Chevelure Incroyable Magicmaman Com



Des Cheveux Bidouillages Et Gourmandises De Vinou



Ce Bebe De 4 Mois A La Meme Coupe De Cheveux Qu Une Celebre Chanteuse Neufmois Fr



Meilleurs Methodes Rapides Pour Connaitre Le Sexe De Bebe Photographe D Art Bebe Naissance Grossesse Famille



Klin View Echographies Plaisir 2d 3d 4d



7 Idees Recues Sur La Grossesse Ooreka



Babies Love Home Facebook



Des Jumeaux Surpris A L Echographie En Train De Se Battre Dans L Uterus De Leur Mere Incroyable Video Tous Toques



21 Adorables Bebes Nes Avec Beaucoup De Cheveux Sur La Tete So Busy Girls



Voit On Les Cheveux De Vos Bebe Sur Vos Echos



L Agence Du Dr Fauci A Finance La Recherche Sur Frankenstein Qui A Vu Des Parties Du Corps De Bebes Avortes Greffees Sur Mice Pour Faire Pousser Des Cheveux Et Des Organes



Maux De Ventre Bebe Chevelu



Cheveux De Bebe Demelez Le Vrai Du Faux



Communication Inter Ventriculaire Diagnostic



Evolution Des Cheveux De Mon Bebe Afro Metisse Maman De Metisses



Le 1er Examen De Votre Bebe



Michael Buble A Poste La Photo De L Echographie De Son Futur Bebe Sur Instagram Juillet 15 Purepeople



Le Syndrome Ichtyose Prematurite Deux Nouveaux Cas Sciencedirect



2



Premiere Semaine Divisions Cellulaires Multiples Stade De Morula Ppt Video Online Telecharger



Croutes De Lait Faut Il Les Retirer Femme Actuelle Le Mag



Bebe Grandit Bien Un Jour Une Bonne Etoile



Evolution Des Cheveux De Mon Bebe Afro Metisse Maman De Metisses



Ce Bebe Ne Passe Pas Inapercu Avec Sa Surprenante Chevelure



1



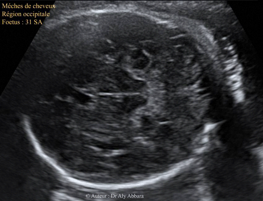
Meches De Cheveux Chez Un Fœtus De 31 Sa Possedant Une Chevelure Assez Fournie



Mon Bebe Naitra T Il Avec Des Cheveux Maman Poussinou Blog Famille Lifestyle Et Travel Pres De Marseille



L Echographie Morphologique Pendant 9 Mois A Peine



Evolution Des Cheveux De Mon Bebe Afro Metisse Maman De Metisses



La Cinquieme Grossesse De Mois 5 Mois Enceintes Dr N Layyous



Comment Nettoyer Le Visage De Bebe



Perte De Cheveux Apres La Grossesse On Vous Dit Tout Omum Le Blog Omum Le Blog



La Troisieme Echographie Tout Sur La Derniere Echographie De Grossesse



Perte Des Cheveux Apres L Accouchement Esprit Bebe



Echographie Definition Interet Et Deroulement De L Examen Doctissimo



Bebe Grandit Bien Un Jour Une Bonne Etoile



Bebe Collodion Et Syndrome De Detresse Respiratoire Sciencedirect



Bebe Les Surprises De Votre Nouveau Ne Magicmaman Com



Quelle Sera La Couleur De Cheveux De Ton Bebe Letsfamily



Anencephalie Droits Des Parents Droits Du Bebe Le Club De Mediapart



Brandon Michael Bebe Avec Anencephalie



Lanugo Utilite Pour Le Fœtus Lanugo A La Naissance Ooreka



Bosse Serosanguine Et Cephalhematome Chez Le Nouveau Ne



Bebe Grandit Bien Un Jour Une Bonne Etoile



Mon Bebe Naitra T Il Avec Des Cheveux Maman Poussinou Blog Famille Lifestyle Et Travel Pres De Marseille



Les Caracteristiques Des Nouveau Nes Naissance Doctissimo



Traumatismes Obstetricaux Du Nouveau Ne Problemes De Sante Infantiles Manuels Msd Pour Le Grand Public



Pourquoi Certains Bebes Naissent Avec Beaucoup De Cheveux Etre Parents



Semaine 27 De Grossesse 27 Semaines De Grossesse 29 Sa Parents Fr



Temoignage 6 Naissance De Brandon Enfant Atteint D Anencephalie Le Club De Mediapart



Suivi De Grossesse Mieux Vivre Avec Votre Enfant Clinique La Rose



Klin View Echographies Plaisir 2d 3d 4d



Chine Ordinateur Portable D Echographie Doppler Machine Echographie Doppler Couleur 3d Scanner Am L5 Acheter Echographe Sur Fr Made In China Com



Ongles Et Cheveux Tout Pousse Pendant Le 8 Eme Mois De Grossesse L Dossier Bebe Pendant La Grossesse



Evolution De Votre Grossesse Mois Apres Mois Hello Tribu



Anencephalie Wikipedia



Prendre Soin Des Cheveux De Bebe Et Le Choix Du Shampooing



Toutes Les Facettes De Bebe La Boite Rose



Suivi De Grossesse Mieux Vivre Avec Votre Enfant Clinique La Rose



Echographie Obstetricale



Mini Poussinou A De Moins En Moins De Poils Sur Le Caillou Maman Poussinou Blog Famille Lifestyle Et Travel Pres De Marseille



Echographie Obstetricale



La Peau Du Nouveau Ne 7 Points Cles En Pratique Pour Preserver La Peau Saine Du Bebe Des La Naissance En Maternite Sage Femme Pratique



L Experience Institut Maia



Comment Donner Le Bain A Un Bebe



Quelle Bombasse Comment Ca Marche Un Bebe



Ca N Arrive Presque Jamais L Effrayante Echographie D Un Bebe De Semaines En Angleterre Ladepeche Fr



Soins Du Bebe Archives Ma Sage Femme Consulting



Comment Soigner Les Cheveux Crepus Ou Frises De Bebe



Toutes Les Facettes De Bebe La Boite Rose



Keri Young Le Bebe Est Condamne Mais Pas Ses Organes



Gimd Echographie



Est Ce Que L Anencephalie Est Non Viable Et Incompatible Avec La Vie Le Club De Mediapart



3


0 件のコメント:
コメントを投稿